Full Lower Jaw Restoration

Safe, Fast, and Immediate

The Patient came to the clinic after living six months without teeth in his lower jaw. Eating was difficult, speaking was uncomfortable, and his confidence was affected.

However, his situation was medically complex. He lives with only one functioning kidney — and even that kidney works at just 40%. Because of this, any surgical procedure had to be carefully planned to minimize stress on his body and reduce medications as much as possible.

After detailed clinical examination and 3D CBCT imaging, we determined that the best solution was an All-on-4 implant treatment, which is an international approved method to restore full mouth edentulous jaw. Due to bone loss in the back areas of the jaw, placing implants in the traditional way was not ideal.

Careful Planning for Maximum Safety

To ensure safety and precision, we used advanced digital planning:

  • A customized denture was fabricated and scanned.

  • The CBCT scan was matched digitally with the denture design.

  • Four implants were planned virtually, with the back implants angled carefully to avoid the mental nerve and maximize available bone.

This allowed us to prepare everything before surgery, thus, reducing surgical time and increasing safety.

Minimally Invasive Surgery

On the day of the procedure, we performed the surgery using a flapless, guided technique, meaning:

  • No large incisions

  • No sutures

  • Minimal bleeding

  • Reduced need for medication

The four implants and multi-unit abutments were placed in just 40 minutes — a procedure that normally takes around two hours.

Immediate Teeth “Immediate Confidence”

A digital scan was taken immediately after implant placement. The next day, the patient received his temporary fixed teeth.

He reported:

  • No significant pain

  • Comfortable chewing

  • Immediate improvement in confidence

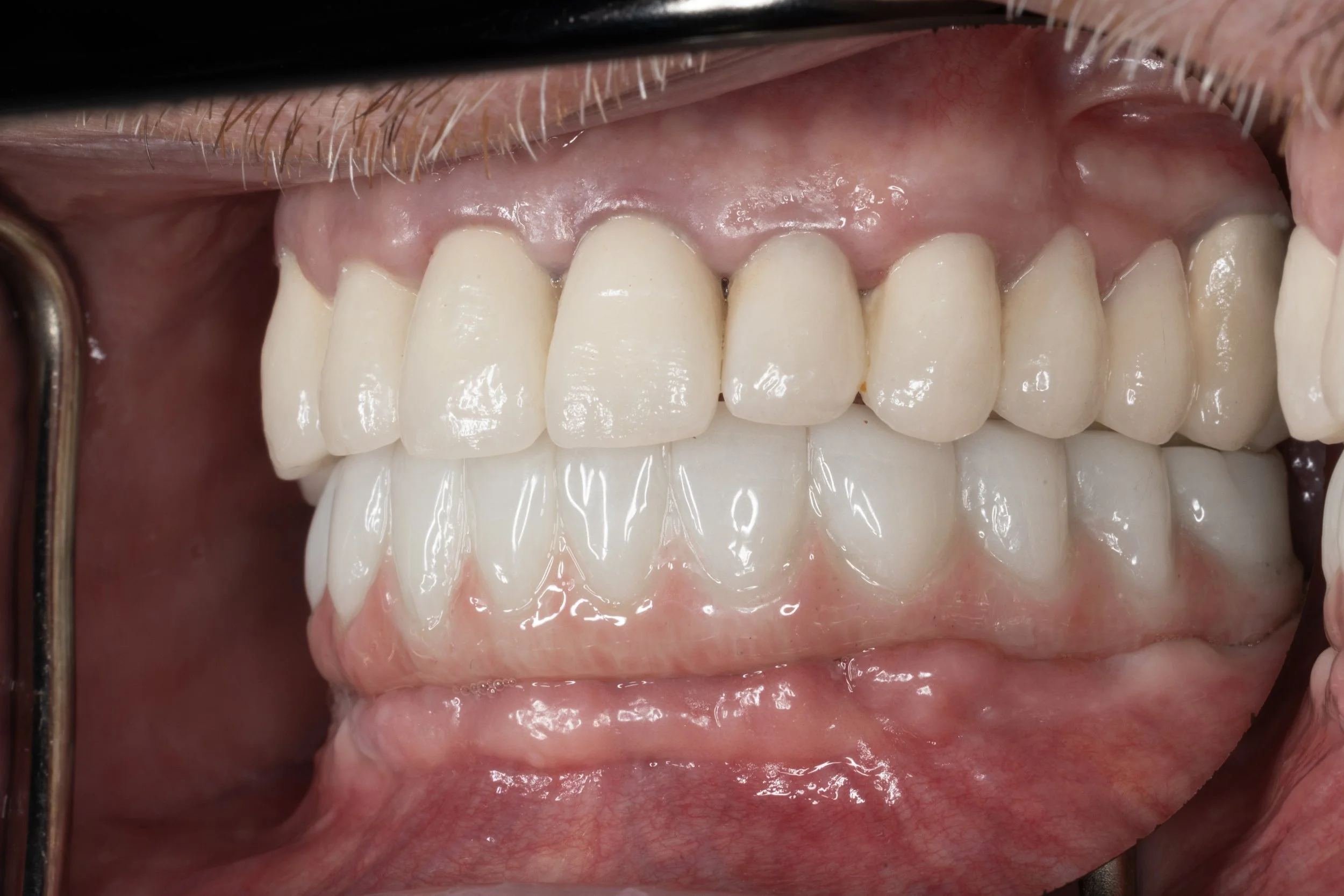
The Result

  • Safe surgery tailored to a medically sensitive patient

  • Reduced surgical time and minimal trauma

  • Immediate fixed teeth

  • Faster recovery

  • High patient satisfaction

This case demonstrates how modern digital implant technology allows us to provide life-changing results — even for medically complex patients — with maximum precision and safety.

Previous
Previous

How technology makes the result precise

Next
Next

Impacted Wisdom Teeth